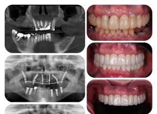
Как выбрать стоматолога: от первых шагов до уверенного выбора
Регулярные визиты к стоматологу – залог здоровья зубов и десен. Но как выбрать "своего" врача, особенно когда на каждом углу клиника, а на сайте...
Применение травы снеголюбка в медицине и кулинарии
_aioseop_title
В мире растений существует множество таинственных и загадочных представителей, каждый из которых обладает своим уникальным набором качеств. Один из таких удивительных видов, который заслуживает...
Лопух — польза для женщин и осторожность после 50 лет
корень лопуха для женщин: польза и противопоказания после 50 лет отзывы
В мире растений скрыты неисчерпаемые возможности, особенно для тех, кто ищет гармонию и здоровье....
Амарант при беременности — польза и риски
амарант при беременности: польза и противопоказания
Во время ожидания малыша многие женщины стараются пересмотреть свой рацион, чтобы обеспечить максимальное благополучие для себя и своего ребенка....
Как похудеть на 10 кг за месяц — эффективные советы
_aioseop_title
В современном мире многие люди стремятся к изменению своего внешнего облика. Одним из наиболее распространенных желаний является уменьшение массы тела. Этот процесс не только...













