Молочные зубы у детей не всегда сохраняются целыми и здоровыми до смены прикуса на постоянный. Иногда они насколько сильно разрушаются из-за агрессивного кариеса и травм, что просто пломбой уже не обойтись. Но выход есть – это коронки на молочные зубы. Далее подробно расскажем о таких протезах для детей – когда их нужно ставить, и какие подойдут именно для ребенка.

Зачем детям нужны искусственные коронки
Тот факт, что молочные зубы все равно скоро сменятся на постоянные, еще не говорит о том, что протезирование детям не проводят. Проводят, и вполне успешно. Ведь тут дело не только в красоте улыбки, а в качестве пережевывания пищи. В «дыркой» в ряду нельзя нормально откусить или прожевать кусочек. Дальше он попадает в ЖКТ, где из плохо пережеванной пищи организм получит меньше полезных веществ, а для желудка и кишечника усложнится сам процесс переваривания.
Еще одна опасность заключается в том, что под разрушающимся молочным зубом может начаться воспаление – в результате есть риск флюса или формирования неправильного прикуса. При откусывании пищи будут перегружаться соседние зубки, травмироваться десны. Поэтому, если стоматолог говорит о такой необходимости, то коронку малышу лучше все-таки поставить – пусть всего на несколько месяцев или на 1-2 года.
Показания к установке коронки
В молочном прикусе ставят искусственные коронки при следующих клинических ситуациях:
-
зуб разрушен на 50% и более, даже вровень с десной,
-
если корень не имеет трещин и глубоких воспалений,
-
если пломбы не держатся и часто выпадают,
-
нужно избежать удаления зуба,
-
чтобы прикус формировался правильно,
-
при склонности молочной эмали к быстрому истиранию,
-
при агрессивном кариесе и некариозных дефектах (например, при флюорозе),
-
ребенок старше 2-3 лет, малыш может спокойно посидеть в кресле стоматолога 15-20 минут.
Полезно знать! При выраженной слабости эмали коронки можно поставить раньше 2-летнего возраста. Возможно, что протезирование придется проводить под седацией или наркозом.
Разновидности коронок для детей
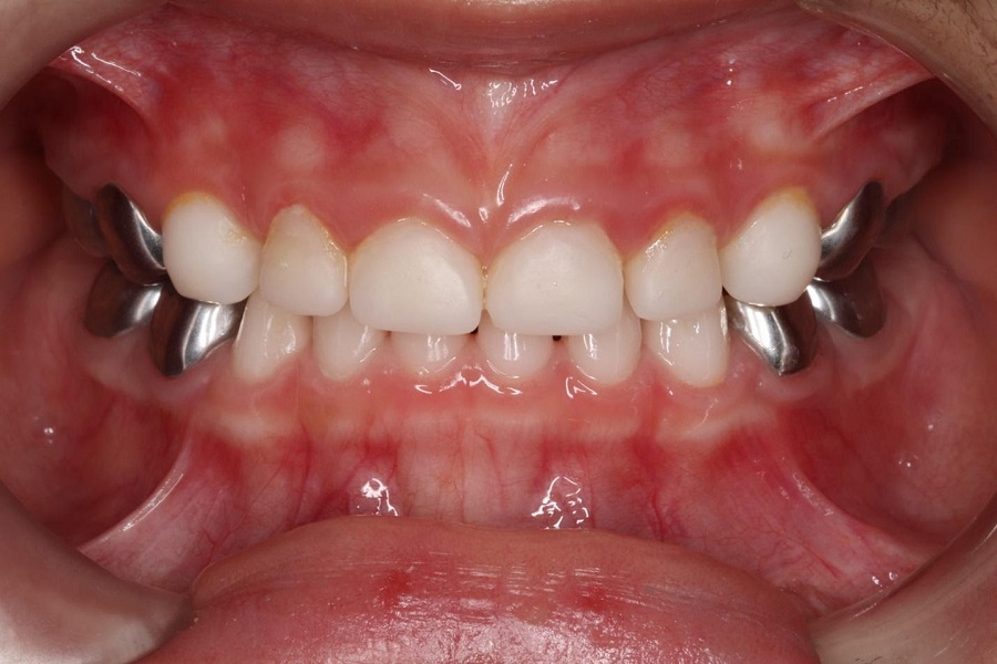
Для детей следует подбирать такие материалы, чтобы они не вызывали раздражения и аллергии. Но в то же время выдерживали нагрузки в протезируемом участке ряда и не портили эстетику улыбки. В жевательных отделах устанавливают металлические и металлокерамические коронки – здесь самое высокое давление. А в переднем – керамические, композитные, пластмассовые белого оттенка, т.к. нагрузки тут небольшие, а эстетика важна. Широко применяются стрип-коронки для детей, которые устанавливаются за 1 визит в клинику.

Срок службы конструкций
Служат искусственные коронки несколько лет. Сколько точно, сказать сложно – тут все зависит от материала, качества его обработки, качества снятия слепков и спокойного поведения малыша в процессе протезирования. Ведь нужно сначала сделать хорошие оттиски с зубных рядов, а перед установкой коронки тщательно высушить рабочую область – чтобы на нее не попала слюна. В среднем пластмассовые и стрип-коронки служат 1-2 года, керамические и металлические чуть дольше. Особенно при соблюдении всех условий ухода и эксплуатации, а также если ребенок не пытается грызть протезом что-то очень жесткое (орехи, леденцы, игрушки).
По материалам сайта zubi-protezi.ru

















