Пятница, 5 декабря, 2025

ЛОР-заболевания

Хирургическая отоларингология: Искусство и Наука Лечения Ушей, Носа и Горла

Хирургическая отоларингология — это специализированная область медицины, посвященная диагностике и лечению заболеваний ушей, носа и горла. Эта дисциплина сочетает в себе как хирургические, так...

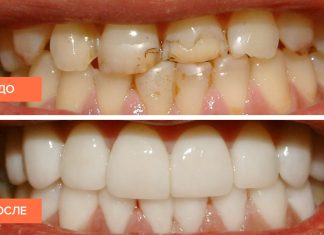
Пластмассовые коронки на зубы: плюсы и минусы

Пластмассовые коронки — самый дешевый вариант протезирования. Они быстро изготавливаются, хорошо скрывают сколы, пятна и другие дефекты эмали. Предназначены коронки из пластика для временного...

МРТ головного мозга с контрастом: подробное руководство к исследованию

Магнитно-резонансная томография (МРТ) головного мозга – это высокоинформативный и безопасный метод диагностики, позволяющий получить детальные изображения структур головного мозга. В некоторых случаях для повышения...

Мир звуков становится доступнее: Обзор слуховых аппаратов

Проблемы со слухом могут существенно снизить качество жизни, влияя на общение, социальную активность и общее благополучие. К счастью, современные технологии предлагают эффективные решения, и...

Может ли под винирами образовываться кариес?

Виниры – тонкие керамические пластинки, которые крепятся на переднюю поверхность зубов для улучшения их эстетики. Многие считают, что под винирами зубы полностью защищены от...

Это полезно знать

Это пригодится каждому

Питьевая вода и какого качества она должна быть

Питьевая вода должна быть чистой, это главный параметр воды. Вода не должна содержать различную грязь, патогенную флору, вирусы, бактерии, различные инфекции, примеси нефтяной и...

Плюсы постельного белья из шёлка и сатина

Наше тело довольно тесно контактирует с постельным бельем, поэтому последнее должно быть очень качественным и комфортным. Шелк и сатин - два популярных материала для...

Полотна для конвейерного оборудования

Транспортерные полотна используются практически на любом производстве. Они нужны для перемещения различных грузов на разных этапах изготовления продукции. Транспортерное оборудование помогает оптимизировать рабочий процесс,...

Как нужно подавать объявления

В современном мире вы часто сталкиваетесь с проблемой продажи какой-либо ненужной для вас вещи или в предоставлении услуги. На помощь вам может прийти объявление...

Косметологические лазеры

Косметологические лазеры – лучшее средство для устранения возрастных проблем с кожей и дефектов эпидермиса, часто используемых салонами красоты и клиник, работающих в этом направлении....